{ The Online Blog }

ARCHIVES
CATEGORIES
TAGS

ARCHIVES

 
Aug 2017
10th
 

Social 6 Lingual Brace For Lower Front Teeth

Our case of the month for August is one involving a Social 6 lingual brace for the lower front teeth. Our client really disliked the crowding with the lower front teeth and was desperate for a solution prior to her wedding.

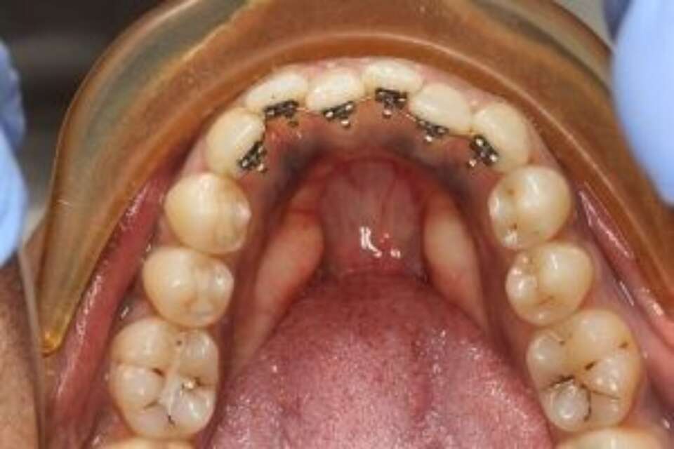
The Social 6 lingual brace is attached to just the front 6 teeth acting on the front 4 teeth i.e the Social aspect of your smile. It is also placed on the INSIDE of the teeth and hence is the only 'invisible' brace. Due to the great technology of the brackets and wires and the skill of our Principle Dentist Dr Nissit Patel, we can straighten the front teeth in a matter of weeks rather than years.

Just take a look:

crowded lower front teeth

Crowded lower front teeth. Note how the teeth are uneven, at different levels and inside/out

straight front teeth

Straight front teeth. Level edges, aligned and straight. In only a few weeks.

If you would like to see the brackets in action, here is a photo:

social six teeth 2 d brackets

With 2-D brackets - the lowest profile brackets on the market

As you can imagine, our client was delighted.

If you would like to straighten the upper or lower front teeth this year, quickly and discreetly, then Social 6 lingual braces could be the solution. Why wait? Contact us today. Treatment completed by Dr Nissit Patel.

Photographs are the sole property of Dr Nissit Patel and may not be reproduced in any form.

RELATED POSTS

Nov 2025
29th
 

Our patient was told it was impossible but we managed to straighten her teeth

We love a challenge especially when it concerns teeth straightening and our case of the month treated in October was a great one. Our lovely patient came to us to straighten her front teeth only after years of being down about her smile. She was told by several dentists that it simply was not possible without going through a long drawn out full mouth orthodontic plan. We were happy to take on the challenge head on and after some careful planning, Dr Nissit Patel was able to provide a great result in a few m… CONTINUE READING
Nov 2025
3rd
 

Teeth straightening with an invisible brace ,a true smile transformation

Teeth alignment is an incredibly popular cosmetic dental treatment which we have been offering for nearly 16 years at Progressive Dentistry. Most people know about Invisalign, which is a fantastic treatment using clear aligners. However, not many are aware of lingual braces. This brace is placed behind the teeth hence no one will know you are straightening your teeth. This treatment is not readily available at most dental practices like Invisalign as it is regarded as being more technically difficult and re… CONTINUE READING
May 2025
19th
 

Straightening a twisted front tooth within a few weeks

Our case of the month for April 2025 is a familiar one where there was some relapse after past braces and a front tooth had started to twist over the adjacent tooth. In the grand scheme of things, this is a minor issue but if you have already had braces and a front tooth starts to rotate, this is incredibly frustrating! Now the good news is that we can correct this in a short space of time, with a discreet solution, with minimum fuss and at an affordable fee. The answer lies in the Social 6 lingual brace wh… CONTINUE READING
Jan 2025
4th
 

Social 6 lingual brace, whitening and bonding. The truly invisible brace

One of our favourite treatments for cosmetic teeth straightening is the Social 6 lingual brace. This brace is the truly invisible brace as it is placed on the inside of the teeth. Even though lingual braces have been around for many decades, there is little awareness of the system as the treatment in the past has been kept within the realm of specialist orthodontists and the costs have been incredibly high compared to conventional braces. Now for complex cases, lingual brace treatment is an extremely diffic… CONTINUE READING
 

TAGS